L’imagerie médicale fait partie de ces évolutions technologiques qui ont changé le visage de la médecine moderne.
Elle permet de visualiser l’intérieur du corps, de poser les bons diagnostic et de proposer la meilleure solution chirurgicale au patient. Il existe cependant plusieurs types d’imagerie et toutes ne sont pas prescrites pour les mêmes raisons.
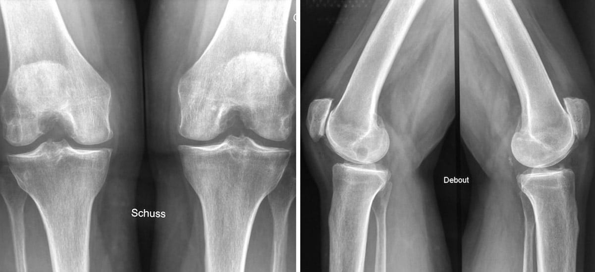
La radiographie
C’est une technique d’imagerie par transmission de rayons X. Ces rayons pénètrent la matière et permet d’obtenir une image dont le contraste dépend des structures traversées.
En orthopédie, la radiographie (on parle souvent de radio) est utilisée pour révéler les os (fractures, arthrose, tumeurs osseuses, malformations…). Les tissus mous (organes, muscles, tendons) sont invisibles sur une radiographie. On utilisera une autre technique d’imagerie si le chirurgien a besoin de les voir.
Votre chirurgien orthopédiste prescrit systématiquement une radiographie. Une échographie peut-être demandée pour avoir un premier aperçu des lésions de vos tissus mous; en cas de lésion suspectée, un scanner ou une IRM sera demandé.
Le scanner
Le scanner utilise également des rayons X (à faible dose) et produit des images en coupe de la partie du corps à analyser. Toutes ces images permettent à un ordinateur une reconstitution en 2 ou 3 dimensions.
Un produit de contraste peut être utilisé pour mettre en évidence un élément précis du corps et le rendre visible sur les clichés du scanner.
Votre chirurgien orthopédiste pourra vous prescrire un arthroscanner. C’est donc un scanner classique associé à l’injection d’un produit de contraste pour visualiser les éventuelles blessures internes.
Un scanner permet d’avoir une vue d’ensemble des os du patient et donne plus de détails qu’une simple radiographie.
L'IRM
L’imagerie par résonance magnétique (IRM) est un examen qui utilise les champs électromagnétiques. Cette technique permet d’obtenir des images en 2D ou 3D du corps humain pour visualiser notamment les tissus mous comme les muscles et les tendons.
Cette examen n’irradie pas le patient puisqu’il n’utilise pas de rayons X.
Votre chirurgie orthopédiste pourra vous prescrire une arthro-IRM de l’articulation (le plus souvent épaule ou genou). L’injection d’un produit de contraste permet de mieux visualiser les éventuelles blessures internes (ligaments, ménisques, cartilages dans le cas d’un genou).
L'échographie
L’échographie est une technique d’imagerie moderne. Elle utilise des ondes sonores de haute fréquence (ultrasons). L’échographie permet d’explorer juste sous la peau comme les tendons ou les ligaments.
Techniquement, les appareils d’échographie sont devenus légers et se résument souvent à un ordinateur portable et une sonde. Ils n’émettent aucun rayonnement et sont sans danger pour le patient, quel que soit son âge. L’examen est indolore et permet de visualiser en direct les structures mobiles comme les muscles, les tendons ou les articulations. Une échographie est souvent le premier examen prescrit en chirurgie de l’épaule pour confirmer une atteinte de la coiffe des rotateurs par exemple.
Quel que soit l’examen prescrit par votre médecin, sachez que les avancées technologiques en radiographie sont à votre service pour vous offrir un diagnostic précis et la meilleure prise en charge possible de votre santé.





