Les ménisques du genou

Auteur : Pr. Christophe Trojani

Le ménisque protège le cartilage du genou.

Le ménisque lutte donc contre l’arthrose. C’est un fibro-cartilage qui agit comme un coussin d’air. Il est triangulaire à la coupe.

Il peut se déchirer lors d’un accident en torsion du genou ou du fait de l’usure : on parle alors de lésion méniscale. Il existe alors une douleur sur le côté du genou ainsi qu’une difficulté à l’accroupissement. Le genou peut aussi se bloquer et gonfler.

Une IRM est nécessaire car elle seule permet de voir la lésion.
Les radios simples sont aussi nécessaires afin d’éliminer une arthrose associée. En cas d’arthrose, il ne faut pas enlever le ménisque, car l’arthrose s’aggraverait.

 

Une opération peut permettre de régler le problème : elle consiste à enlever la partie de ménisque déchirée sous vidéo-chirurgie.

Cette opération est courte, 10 à 15 minutes, se fait sous anesthésie générale et en ambulatoire : vous pourrez rentrer le matin à la clinique et en sortir en début d’après-midi.
Après l’opération, vous pourrez marcher avec 2 béquilles pendant 48 heures puis sans béquilles ; 10 séances de rééducation vous seront prescrites. Un arrêt de travail minimal d’1 semaines est nécessaire. Un arrêt de sport de 4 semaines est obligatoire.
Anatomie du genou
Anatomie du genou.
Le ménisque du genou
Le ménisque est un coussin d’air triangulaire à la coupe (représenté en bleu) ; il amortit les chocs et stabilise le genou.
Lésions méniscales
Classification des lésions méniscales d’Albert Trillat.
ménisque normal
Un ménisque normal en IRM a un aspect de triangle noir plein.
La lésion méniscale engendre à l’IRM une fissure blanche à l’intérieur du triangle noir.
Absence ménisque
Il n’existe plus de ménisque interne ; le triangle noir a disparu sur l’IRM de face ; de profil, le ménisque déchiré est luxé au milieu du genou (en anse de seau). Le genou est alors bloqué.
Ménisque normal
Vue arthroscopique d’un Ménisque interne normal.
Lésions méniscales
Différents type de lésions méniscales.
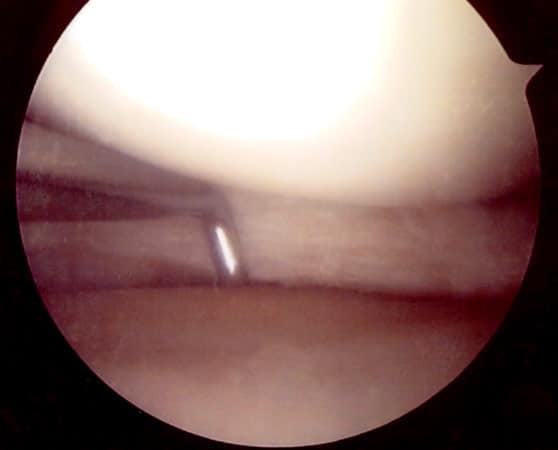
Aspect arthroscopique à la fin de l’opération. La partie déchirée a été enlevée ; la partie la plus importante, la plus épaisse, qui protège le cartilage est conservée afin d’éviter l’arthrose dans les années à venir.

Les chirurgiens