L’arthrose du genou est extrêmement répandue dans la population : elle touche 30% des gens âgés de plus de 60 ans, en majorité des femmes.
L’arthrose est liée à la dégénérescence progressive du cartilage. Lorsque le cartilage est détruit, l’os frotte contre l’os, ce qui engendre des douleurs, une boiterie, une limitation du périmètre de marche et un handicap important dans la vie de tous les jours.
Lorsque le handicap est important et que le traitement médical ou par infiltrations ne donne plus de résultats, une intervention chirurgicale peut être envisagée.
Plusieurs interventions sont possibles :
En l’absence d’infection, un changement de prothèse en une seule opération est possible.

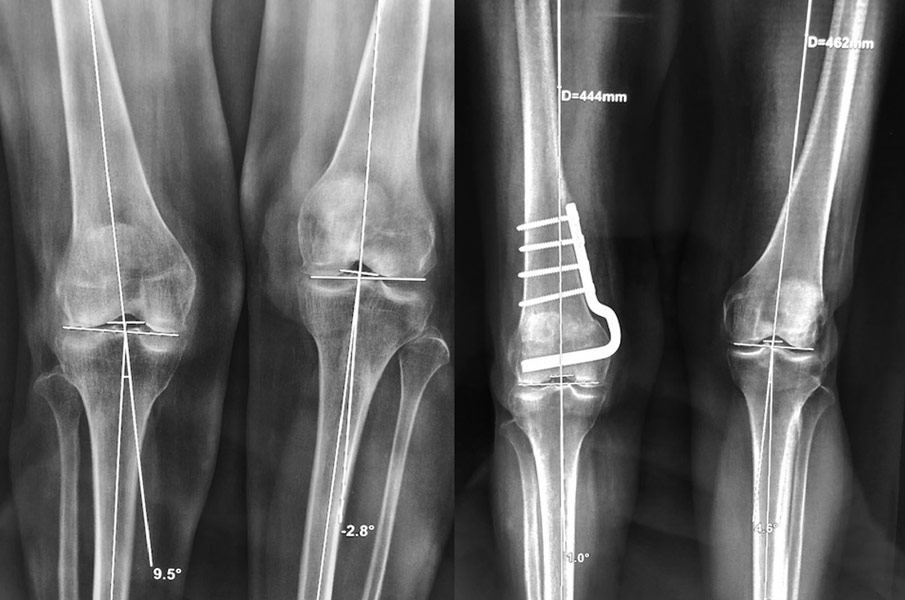
Sur ces radios de face, il n’y a pas de pincement donc pas d’arthrose au genou droit; il y a un pincement entre le fémur et le tibia au genou gauche.
Indication d’ostéotomie pour ré-axer le genou.
On réalise une ostéotomie tibiale car la déformation est localisée sur le tibia, avec une plaque interne.

Arthrose externe, patiente jeune, genou en valgus (jambes en X), patiente jeune, on propose une ostéotomie pour ré-axer le genou.
Déformation du genou en valgus (jambes en X), femme jeune (45 ans), ancienne handballeuse aux jeux de Séoul ; le fémur et le tibia sont déformés. Handicap majeur.
On réalise une double ostéotomie de varisation lors de la même opération, fémorale et tibiale, fixées avec des agrafes métalliques.
Patiente opérée à l’âge de 30 ans d’une rupture du ligament croisé antérieur. Arthrose progressive. Handicap important.
2ème opération à l’âge de 40 ans, du fait d’une arthrose interne du genou, par ostéotomie tibiale de valgisation. Excellent résultat 10 ans après
10 ans après l’ostéotomie, excellent résultat : aucune douleur, mobilités normales.

Déformation majeure du genou chez une patiente âgée de 39 ans.
Double ostéotomie de vagisation lors de la même opération, au fémur par soustraction d’un coin d’os en externe, fixée avec une lame-plaque à 95° ; au tibia par ouverture interne (avec comblement par le coin d’os prélevé au fémur) fixée par une plaque.
Aucune douleur, aucune boiterie 5 ans après l’opération de ré-axation du genou.
Arthrose externe de rotule isolée chez une patiente jeune, âgée de 45 ans.

Arthrose interne isolée (pincement à la radio), Homme, 60 ans.
Arthrose interne (pincement à la radio) associée à une nécrose du condyle fémoral interne (visible à l’IRM). Homme, 65 ans.
Arthrose externe isolée, survenue après une fracture du plateau tibial externe opérée par plaque. Homme 55 ans; douleur, raideur, boiterie.



Arthrose des trois compartiments du genou (tri-compartimentale).
Douleur + raideur + boiterie. Homme 75 ans, opéré du ligament croisé antérieur 40 ans auparavant. On propose une prothèse totale du genou. Rééducation immédiate, récupération en 4 mois sauf complication.


Prothèse totale du genou NexGen (société Zimmer) à glissement, cimentée au fémur, au tibia et à la rotule, plateau polyéthylène fixe, postéro-stabilisée.
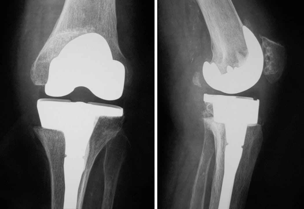
Douleur, raideur, boiterie. Usure prothétique avec métallose. Evolution arthrosique associée avec pincement fémoro-tibial interne.
On propose une reprise chirurgicale : ablation du bouclier métallique trochléen, mise en place d’une prothèse totale du genou NexGen.

Homme 60 ans, opéré par prothèse rotulienne et prothèse uni-compartimentale interne. Toujours douloureux.
Pas d’infection.
Changement pour mettre en place une prothèse totale du genou. Aucune douleur résiduelle.

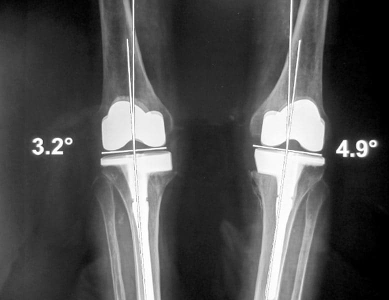
Femme de 88 ans, opérée par prothèse totale du genou NexGen à droite il y a 19 ans et à gauche il y a 18 ans.
Aucune douleur, aucune usure.
La courbe de survie de la prothèse NexGen dans les registres Australien et Anglais est de 98% à 11 ans de recul.

Homme 65 ans, Ostéotomie tibiale de valgisation il y a 15 ans.


Patient âgé de 75 ans, opéré par Prothèse uni-compartimentale interne il y a 3 ans.
Douleur et instabilité du genou du fait d’un descellement de la PUC ; reprise par Prothèse totale du genou postéro-stabilisée à glissement avec tige au tibia et reconstruction tibiale par cale interne.

Patient âgé de 80 ans ; opéré par Prothèse totale du genou il y a 5 ans. Douleur et instabilité. Déviation du genou de 13° ; pas de prothèse sur la rotule.
Pas d’infection.
Reprise par Prothèse totale du genou avec tiges fémorale et tibiale cimentées, semi-contrainte (séociété Zimmer, système LCCK), et bouton rotulien cimenté.


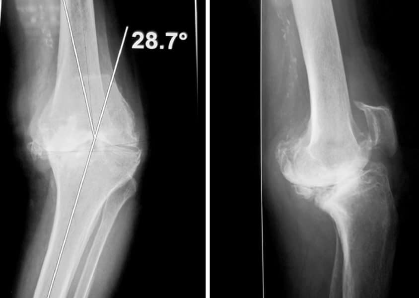
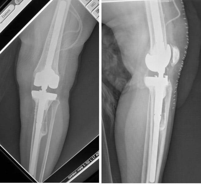
Homme de 75 ans ; fracture du fémur il a 50 ans ; consolidation avec cal vicieux de 27°.
Artrhrose interne ; douleur + boiterie + raccourcissement de 3 centimètres.

Indication de prothèse totale du genou Postéro-stabilisée associée dans le même temps à une ostéotomie fémorale de valgisation par soustraction externe fixée par une plaque.

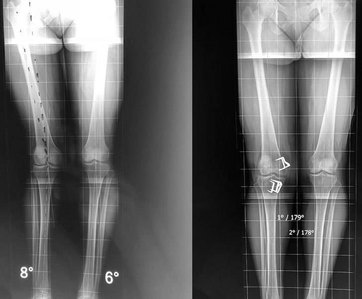
Femme de 91 ans ; déformation majeure des deux genoux en varus
Douleur + boiterie + Raccourcissement.
Opérée par PTG gauche puis droite à 6 mois d’intervalle avec tige au tibia et cale interne de reconstruction tibiale.
Femme de 85 ans, grosse déformation en valgus du genou gauche.
Douleur, boiterie, instabilité à la marche.
Opérée par Prothèse totale du genou avec tige au fémur et au tibia et système semi-contraint (société Zimmer, système LCCK).


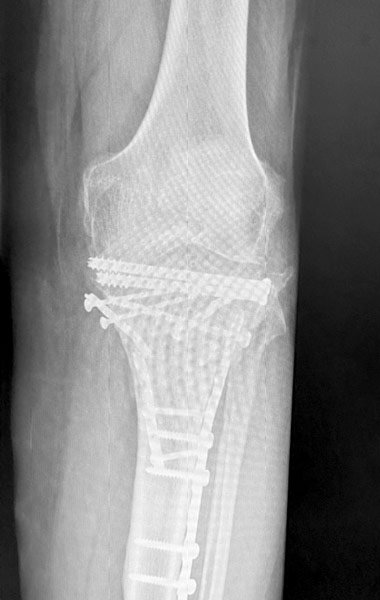
Homme 60 ans, Fracture complexe des 2 plateaux tibiaux opérée par plaques il y a 3 ans. Non consolidation osseuse.
Douleur, raideur.
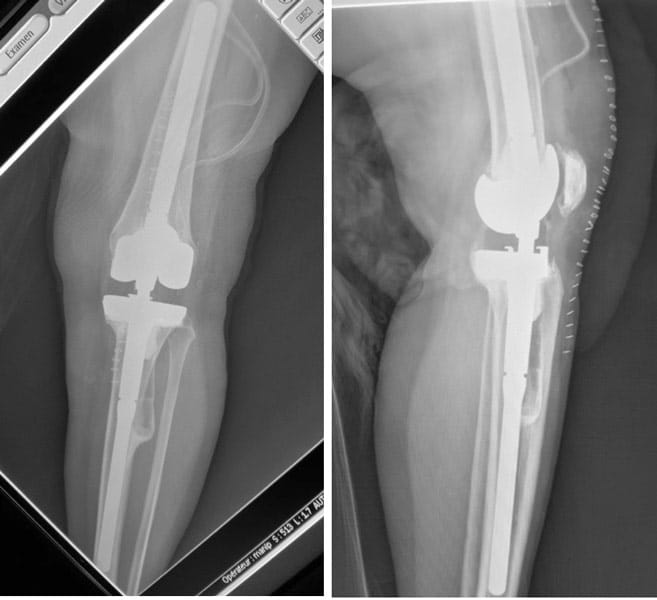
Reprise par prothèse totale du genou postéro-stabilisée avec tige de reconstruction tibiale et reconstruction de l’appareil extenseur.
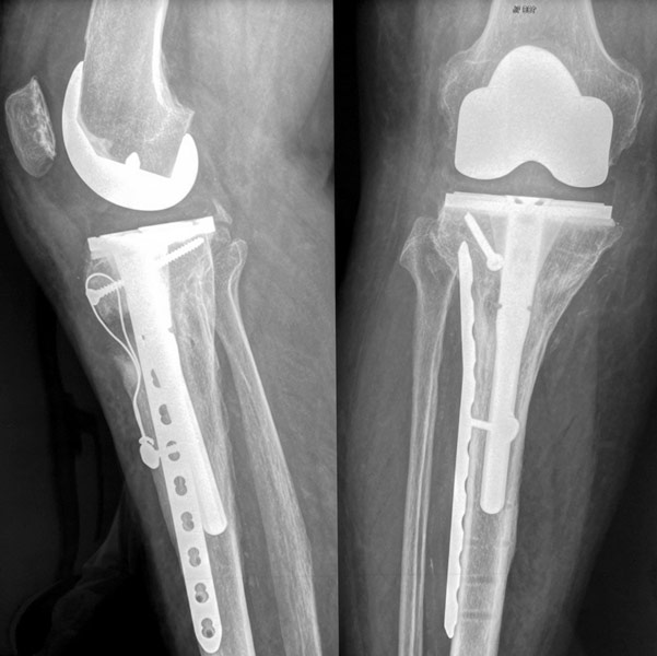
Homme 65 ans, Fracture complexe des 2 plateaux tibiaux opérée par plaques il y a 3 ans. Non consolidation osseuse.
Déformation en varus de 17°.
Douleur, raideur.
Reprise par prothèse totale du genou postéro-stabilisée avec tige de reconstruction tibiale et reconstruction de l’appareil extenseur.
